حول العالم

أغرب 10 كواكب في هذا الكون

في عمق الكون، بعيدًا عن الكواكب التي نعرفها في نظامنا الشمسي، توجد عوالم غريبة تفوق كل ما نتخيله. بفضل التكنولوجيا المتقدمة في مجال التلسكوبات،حيث تمكن

حول العالم

سرطان الثدي يزداد في أميركا

تراجع عدد الوفيات بسرطان الثدي في الولايات المتحدة رغم الارتفاع الحاد بمعدل الإصابة بهذا المرض وخصوصاً في فئات أصغر سناً من النساء ولدى الأميركيات من

حول العالم

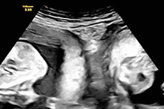
صينية برحمين أنجبت توأمين

أنجبت امرأة تعاني حالة نادرة بامتلاكها «رحمين»، توأمين، واحد من كل رحم، في مستشفى بشمال غرب الصين. وفي الحدث الذي وصف بأنه «واحد في المليون»،